
Implantes para quadris e joelhos
Avanços tecnológicos nos equipamentos médicos têm permitido que pacientes que sofrem de doenças musculoesqueléticas, como dores nos quadris e joelhos, recuperem a mobilidade e vivam relativamente livres da dor.
Mas alguns dispositivos cirúrgicos de "alto risco" que foram aprovados pela FDA (Food and Drug Administration) dos EUA não são obrigados a passar por ensaios clínicos, onde um produto é testado para determinar sua segurança e eficácia.
A aprovação pela FDA é frequentemente seguida ou serve de suporte para que autoridades de vários outros países também aprovem os implantes e procedimentos.
"Isso pode ser potencialmente muito perigoso. Muitos pacientes e até mesmo médicos não estão cientes de quantos dispositivos neste país estão no mercado sem ter dados clínicos de segurança e eficácia," alerta a Dra. Rita F. Redberg, da renomada Universidade da Califórnia em São Francisco.
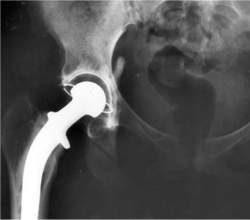
Implantes de metal sobre metal
Juntamente com colegas australianos, a equipe da universidade norte-americana publicou um estudo no exemplar deste mês do New England Journal of Medicine que revela a complexa história de como os implantes de metal sobre metal para os quadris chegam ao mercado.
Esses implantes são classificados pela FDA como dispositivos de alto risco. No entanto, tem sido permitido que eles entrem no mercado sem testes clínicos.
Esses implantes apresentam falhas em uma taxa perigosamente alta, exigindo cirurgias reparadoras pelo menos quatro vezes mais frequentemente do que no caso da cirurgia tradicional.
Esses implantes de metal sobre metal de alto risco evitam os ensaios clínicos por causa de brechas na legislação da FDA, que aceita uma alegação chamada "equivalência substancial", o que significa que os dispositivos que solicitam aprovação são semelhantes a dispositivos já aprovados.
"Tudo que você tem que fazer é mostrar que o dispositivo é substancialmente semelhante a uma série de outros dispositivos," explica a Dra. Redberg. "E alguns dos dispositivos que foram originalmente aprovados já foram recolhidos ou retirados do mercado, mas sua aprovação original continua servindo de base para aprovação daqueles dispositivos que alegam 'equivalência substancial'."
No artigo, os autores pedem mudanças na forma como a FDA aprova os implantes de metal sobre metal para os quadris e outros dispositivos de alto risco.
Risco de incapacitação
"Se esses implantes de quadril sofrerem um recall, além do problema de ter que removê-los, porque eles causam muita dor, eles podem liberar íons de cromo na corrente sanguínea, que representam um risco desconhecido", disse Redberg. "Os pacientes também sofrem uma incapacidade significativa ao se submeter a uma segunda, terceira ou quarta operação de quadril."
"A mobilidade de alguns pacientes vai diminuir a ponto de necessitarem de andadores ou cadeiras de rodas para se locomover, além de outros eventos graves, inclusive o risco de morte pelas operações sucessivas," alerta a pesquisadora. "E isso apenas para os implantes de metal sobre metal."
Para os pacientes que estão em processo de se submeter a um procedimento médico, a pesquisadora sugere manter-se informado e fazer muitas perguntas ao seu cirurgião sobre o implante a ser utilizado.
| Ver mais notícias sobre os temas: | |||
Implantes | Equipamentos Médicos | Ossos e Articulações | |
| Ver todos os temas >> | |||
A informação disponível neste site é estritamente jornalística, não substituindo o parecer médico profissional. Sempre consulte o seu médico sobre qualquer assunto relativo à sua saúde e aos seus tratamentos e medicamentos.
Copyright 2006-2026 www.diariodasaude.com.br. Todos os direitos reservados para os respectivos detentores das marcas. Reprodução proibida.