
Bactérias, não colesterol
Cientistas da Finlândia e do Reino Unido descobriram fortes evidências de que os ataques cardíacos podem ser desencadeados por processos infecciosos, e não apenas por colesterol alto e fatores de estilo de vida.
Biofilmes bacterianos ocultos dentro das placas arteriais podem permanecer adormecidos por décadas, protegidos do sistema imunológico, até serem ativados por uma infecção viral ou outro gatilho externo. Uma vez despertadas, as bactérias desencadeiam a inflamação, rompem as placas arteriais, e estas vão finalmente causar bloqueios que geram os ataques cardíacos.
Esta descoberta contesta a compreensão médica convencional da patogênese do infarto do miocárdio, mas também abre novos caminhos para o tratamento, o diagnóstico e até mesmo o desenvolvimento de vacinas contra os ataques cardíacos.
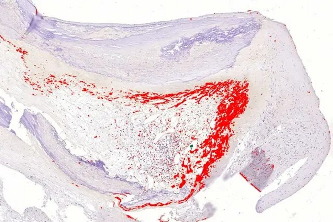
Utilizando uma série de metodologias avançadas, a equipe descobriu que, na doença arterial coronariana, placas ateroscleróticas contendo colesterol podem abrigar um biofilme gelatinoso, formado por bactérias, mas permanecer assintomático por anos ou até décadas. As bactérias dormentes dentro desse biofilme ficam protegidas tanto do sistema imunológico quanto dos antibióticos, que não conseguem penetrar na matriz do biofilme.
Uma infecção viral ou outro gatilho externo podem eventualmente "ativar" o biofilme, levando à proliferação das bactérias e a uma resposta inflamatória. A inflamação pode causar uma ruptura na capa fibrosa da placa, resultando na formação de trombos e, por fim, em um infarto do miocárdio.
Bactérias causando infarto
"Há muito tempo se suspeitava do envolvimento bacteriano na doença arterial coronariana, mas faltavam evidências diretas e convincentes. Nosso estudo demonstrou a presença de material genético - DNA - de diversas bactérias orais dentro das placas ateroscleróticas," disse o professor Pekka Karhunen, da Universidade Tampere (Finlândia).
As descobertas foram validadas pelo desenvolvimento de um anticorpo direcionado às bactérias descobertas, que inesperadamente revelou as estruturas do biofilme no tecido arterial, antes que ele causasse dano.
Isto abre caminho para o desenvolvimento de novas estratégias diagnósticas e terapêuticas para o infarto do miocárdio. Além disso, esse conhecimento aumenta a possibilidade da prevenção da doença arterial coronariana e do infarto do miocárdio por meio da vacinação.
| Ver mais notícias sobre os temas: | |||
Coração | Sistema Circulatório | Bactérias | |
| Ver todos os temas >> | |||
A informação disponível neste site é estritamente jornalística, não substituindo o parecer médico profissional. Sempre consulte o seu médico sobre qualquer assunto relativo à sua saúde e aos seus tratamentos e medicamentos.
Copyright 2006-2026 www.diariodasaude.com.br. Todos os direitos reservados para os respectivos detentores das marcas. Reprodução proibida.